4620 East Douglas, Suite 100 Wichita, KS 67208

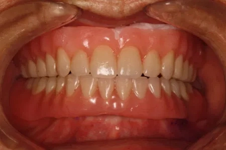
What Are Dentures?
Dentures are a set of false, removable teeth that can be created using acrylic, metal, or nylon material. After being uniquely fitted to that patient’s mouth, they fit snugly on and comfortably on the gums, closing any gaps and eliminating the problems caused by them. There are two types of dentures, full and partial, which replace either the entire upper or lower row of teeth or a single or couple of missing teeth.
Tooth pain and loss can cause uncomfortable problems with both speech and eating. Gaps left by missing teeth can enable the surrounding teeth to grow at angles, leading to both mental and physical discomfort. When a significant number of teeth fall out or need to be removed, dentures are there to act as effective replacements.
Who Needs Dentures?
- Red, swollen, or tender gums
- Loose, shifting teeth
- Persistent toothache
- Gaps from missing teeth
- Indigestion from not being able to chew or break down food properly
- Self-consciousness when smiling
Treatment Options
Caring for Your Dentures
Before


After