4620 East Douglas, Suite 100 Wichita, KS 67208
Transforming Smiles with Expert Care and Artistic Precision
Experienced in all facets of care, Dr. Pauly understands the complexities of dental and facial aesthetics and the requirements of a well-functioning smile. She provides skilled care with an artistic touch and offers the latest solutions to transform imperfect smiles into ones that appear flawless.
Whether you need a quick teeth whitening procedure, the restoration of a single tooth, a complete smile makeover, or extensive full-mouth rehabilitation, you can rest assured your care is in the best of hands.
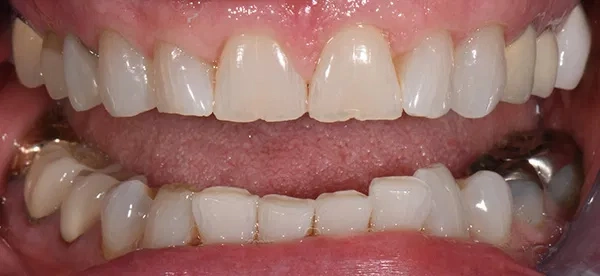
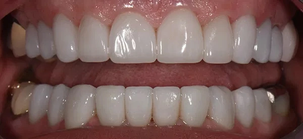
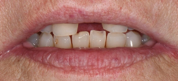
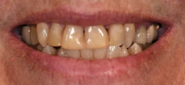
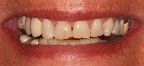
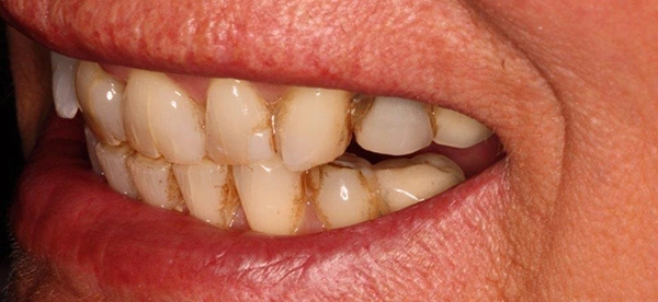
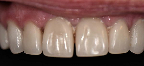
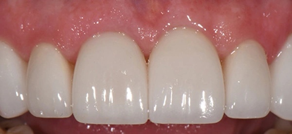
These Before & After photos of actual patients illustrate how Dr. Pauly helps to transform lives by giving patients the great-looking smile they’ve always wanted.
Before


After
Before


After
Before


After
Before


After
Before


After
Before


After
Before


After
Before


After
Before


After
Before


After
Before


After
Before


After
Before


After
Before


After
Before


After